2430 South Church Street, Suite B, Burlington, NC 27215
Hablamos Español

Smile Gallery

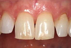
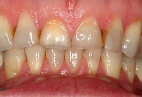
A close-up photograph of a person s mouth showing teeth that appear to be discolored or stained, with visible signs of wear and aging.

Before

The image displays a close-up of a person s smiling mouth, showcasing a bright smile with straight white teeth and pink gums.

After

The image shows a close-up of a person s teeth with yellowish stains, indicating possible dental issues or the need for professional cleaning.

Before

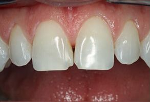
The image shows a close-up of a person s teeth with a focus on the upper front teeth, which appear to be discolored or stained.

After

The image shows a close-up of a person s face, focusing on the mouth area where teeth are visible, with a caption that reads  Teeth Whitening .

Before

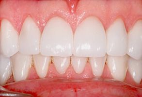
The image shows a close-up of a person s mouth with teeth, displaying a smile.

After

The image shows a close-up of a person s teeth, with the upper lip partially visible and the lower lip not shown.

Before

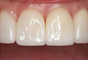
The image shows a close-up of a person s teeth, with the focus on a bright white tooth in the foreground.

After

The image shows a close-up view of a person s teeth, with visible yellow stains and some missing enamel revealing the underlying dentin.

Before

The image displays a close-up of a person s teeth, which appear to be in the process of being straightened or aligned.

After

The image shows a close-up of a person s teeth, featuring a large gap between the upper and lower front teeth, with one tooth appearing to be missing or extracted.

Before

The image shows a close-up of a person s teeth, focusing on the lower front teeth.

After

The image shows a close-up of a person s mouth with a large, discolored tooth that appears to be in need of dental care.

Before

The image shows a close-up of a person s teeth, with a focus on the upper front teeth.

After

Hablamos Español

Questions?

Office Hours

Monday
8:30 am - 5:00 pm
Tuesday
By Appointment
Wednesday
8:30 am - 5:00 pm
Thursday
By Appointment
Friday
8:30 am - 5:00 pm
Saturday
8:00 am - 2:00 pm*
*Every other
Sunday
Closed